آیا دوست دارید دندانهایتان را بدون براکتهای فلزی مرتب کنید؟ ارتودنسی نامرئی جدیدترین روش اصلاح بهمریختگی دندانها است که بدون درد و دردسر ناشی از سیم و براکت ارتودنسی به روش سنتی، مشکلات فک و دندانها را اصلاح میکند. در ادامه بیشتر با این روش نوین و پرطرفدار آشنا خواهید شد.
به صورت کلی قیمت ارتودنسی نامرئی در مشهد از 30 میلیون تومان شروع میشود و حدوداً تا سقف 80 میلیون تومان ادامه دارد. عوامل مختلفی بر قیمت ارتودنسی نامرئی تاثیر مستقیم دارند که شامل موارد زیر میشوند:
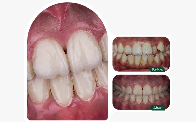
رزرو نوبت با متخصص ارتودنسی در کلینیک بارانا مشهد: ارتودنسی دندان مشهد
اگرچه افراد زیادی کاندیدای مناسبی برای استفاده از ارتودنسی نامرئی هستند اما کمک گرفتن از این روش در هر شرایطی ممکن نیست و با محدودیتهایی مواجه است. بهترین کاندیدای ارتودنسی دندان نامرئی عبارت هستند از:
1) کسانی که بهمریختگی دندانهایشان جزئی است.
2) افرادی که دندانهای فاصلهدار دارند و این فاصله بسیار جزئی است.
3) متقاضیانی که بالای 18 سال هستند و رشد فک و دندانهایشان کامل شده باشد.
4) کسانی که با ظاهر ارتودنسی سیمی مشکل دارند و دردسرهای آن برایشان غیرقابل تحمل است.
در نظر داشته باشید که چنانچه دارای اختلالات شدید فک یا چرخش زیاد دندانها هستید، بهتر است از ارتودنسی ثابت استفاده کنید تا بهترین نتیجه را بگیرید.
1) کاهش چشمگیر احتمال پوسیدگی یا تغییر رنگ دندان
2) سهولت در خوردن غذا یا رعایت بهداشت دهان و دندانها
3) عدم احتمال پاره شدن سیم، کش ارتودنسی یا بیرون زدن براکت
4) جلوگیری از ایجاد زخم و خونریزی در بافت داخلی دهان
5) غیر قابل مشاهده بودن و عدم تغییر در نوع صحبت کردن
6) کاهش قابل توجه دوره درمان در مقایسه با ارتودنسی سیمی

یکی از دغدغههای پرتکرار در میان کسانی که قصد دارند دندانهایشان را به کمک ارتودنسی مرتب کنند، انتخاب بین ارتودنسی ثابت یا متحرک است. اگرچه هر دو روش برای اصلاح مشکلات دندانی از قبیل فاصله، فشردگی یا بهمریختگی کاربرد دارند؛ اما تفاوتهایی در ظاهر و نحوه عملکرد دارند.
برای مثال ارتودنسی سیمی متشکل از براکت و سیم فلزی است که هنگام صحبت کردن یا خندیدن نمایان میشود. در مقابل ارتودنسی نامرئی شامل پلکهایی شفاف و قابل جابجایی است که در دهان دیده نمیشود و فرد میتواند حین غذا خوردن یا مسواک زدن، آن را بردارد.
هر دو روش در مرتب کردن ظاهر دندانها عملکرد موفقی دارند؛ اما ارتودنسی نامرئی برای مشکلات خفیف تا متوسط مناسب است؛ در حالی که ارتودنسی سیمی قادر است تمامی مشکلات شدید دندانی را درمان کند. در جدول زیر این دو نوع ارتودنسی را از چند جنبه با یکدیگر مقایسه کردهایم تا راحتتر تصمیمگیری کنید:

اطلاعات کاملتر در خصوص ارتودنسی نامرئی را در این مقاله بخوانید: ارتودنسی نامرئی

کلینیک بارانا یکی از مراکز معتبر دندانپزشکی مشهد است که خدمات مختلف دندانپزشکی از جمله ارتودنسی دندان را به مراجعین خود ارائه میدهد. این مجموعه به واسطه همکاری با دندانپزشکان متخصص و حاذق شهر مشهد، همچنین استفاده از بهروزترین تجهیزات پزشکی لازم در این حوزه توانسته به برترین مرکز تخصصی دندانپزشکی در مشهد بدل شود. استفاده از مواد اولیه معتبر و باکیفیت تضمینی برای رضایتمندی شما از انجام انواع خدمات دندانپزشکی در این مجموعه خواهد بود. جهت دریافت مشاوره رایگان و رزرو نوبت معاینه در این مرکز میتوانید با شمارههای 09157609009 یا 37609009-051 تماس بگیرید.
اولین دیدگاه را شما بنویسید